Skip to content Skip to footer
Bienvenus dans notre clinique

Votre meilleur choix pour les soins dentaires

Implant dentaire

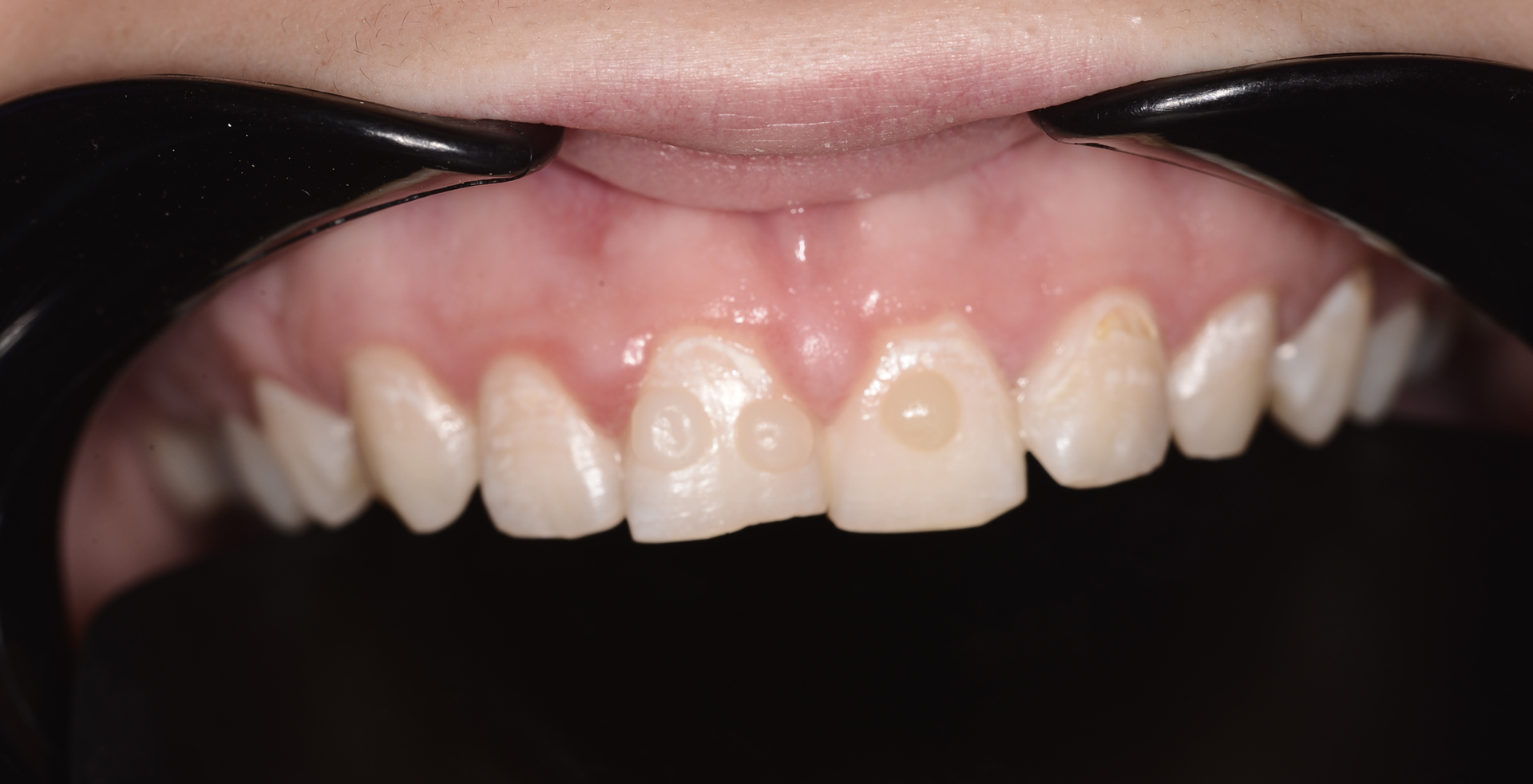
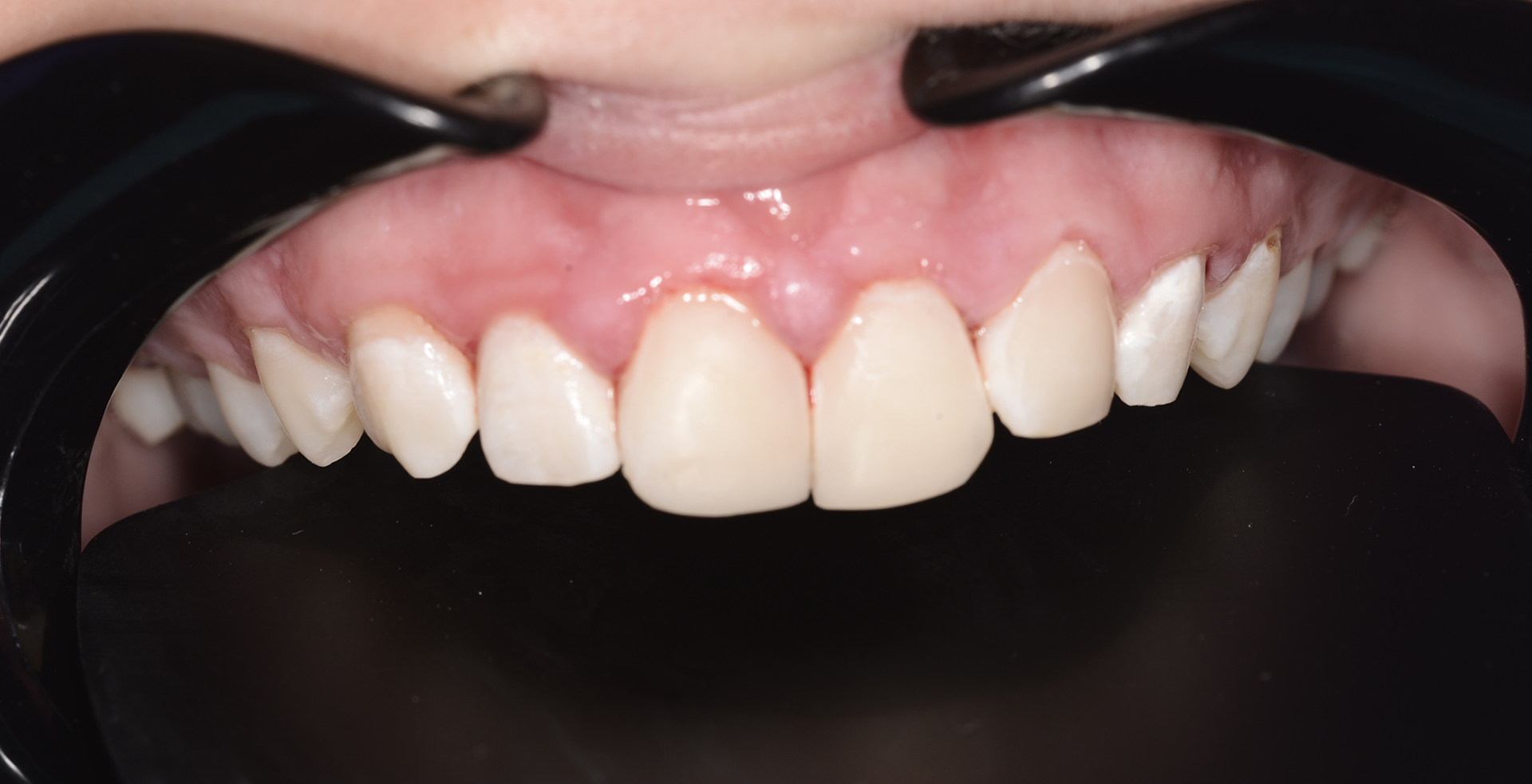
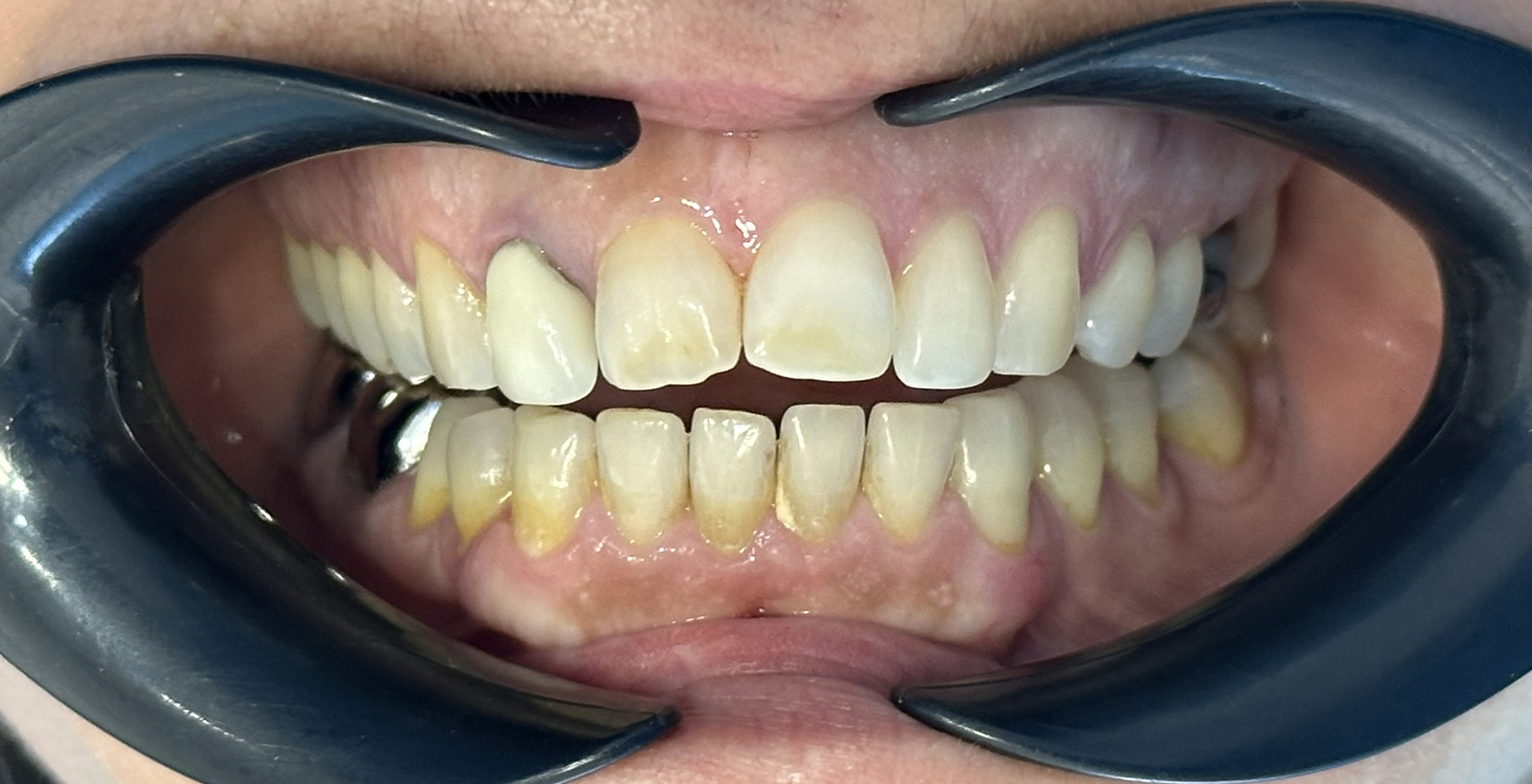
Regardez notre avant/après est une solution discrète et permanente pour remplacer vos dents. .

BeforeBeforeAfter
BeforeAfter
BeforeBeforeAfter
BeforeAfter
BeforeBeforeAfter
BeforeAfter
BeforeBeforeAfter
BeforeAfter
BeforeBeforeAfter
BeforeAfter